Bệnh gout cần được chẩn đoán chính xác, từ đó mới có giải pháp điều trị kịp thời và đúng hướng, giúp bệnh mau khỏi. Hiện nay có nhiều cách khác nhau để chẩn đoán gout, trong đó có phương pháp siêu âm. Liệu siêu âm có phát hiện ra bệnh gút không? Những phân tích cụ thể ngay sau đây sẽ giúp người bệnh nắm rõ hơn về điều này.
Căn cứ vào tình trạng mức độ bệnh mà người ta chia bệnh gout thành 3 giai đoạn sau:
- Bệnh gout giai đoạn 1: Đây là bệnh ở giai đoạn nhẹ, lúc này mức axit uric trong máu đã tăng nhưng vẫn chưa xuất hiện triệu chứng bệnh gút. Đa phần mọi người chỉ thấy xuất hiện biểu hiện sau khi họ bị bệnh sỏi thận hoặc không phát hiện ra.
- Bệnh gout giai đoạn 2: Khi bước sang giai đoạn này nồng độ axit uric trong máu lúc này rất cao, thậm chí đã hình thành tinh thể muối urat ở ngón chân. Người bệnh sẽ thấy bị đau nhức ở khớp nhưng cơn đau không kéo dài, tần suất sẽ ngày càng gia tăng.

Bệnh gout phát triển qua 3 giai đoạn chính từ nhẹ cho đến nặng.
- Bệnh gout giai đoạn 3: Giai đoạn này rất nghiêm trọng, biểu hiện bệnh trở nên rõ ràng hơn. Đặc biệt axit uric chuyển hóa thành tinh thể hình kim sắc nhọn sẽ tấn công khớp nhiều hơn, làm xuất hiện hạt tophi dưới da khiến người bệnh bị đau đớn dữ dội, da bong tróc, tím đỏ, phá hủy sụn khớp.
Càng để lâu các triệu chứng bệnh gout càng nặng hơn, một khi các hạt tophi này lớn dần, chúng sẽ vỡ ra tràn dịch làm viêm nhiễm và nhiễm trùng khớp. Nặng hơn là làm biến dạng khớp và gây tàn phế khớp, bại liệt, không thể đi lại, nguy hiểm đến tính mạng.
Muốn điều trị bệnh gout hiệu quả cần xác định đúng tình trạng mức độ bệnh. Dựa vào từng giai đoạn sẽ có phương án đối phó cụ thể, việc phát hiện bệnh sớm sẽ giúp điều trị dễ dàng hơn và mau chóng bình phục hơn.
Theo các chuyên gia y tế siêu âm là phương pháp chẩn đoán được sử dụng phổ biến hiện nay để phát hiện ra bất thường và sự thay đổi tại các khớp do bệnh gout gây ra. Nhờ có hình ảnh chụp phim siêu âm sẽ cho thấy rõ triệu chứng viêm khớp của gout, nhờ vào đó bác sỹ cũng có thể dễ dàng phán đoán được bệnh tình của bạn.
Một nghiên cứu khoa học của Bác sĩ Carlos Pineda (Instituto Nacional de Rehabilitacion Mexico City, Mexico) cho thấy: trong 45 bệnh nhân đã được xác nhận là bị gout, có tăng acid uric máu với nồng độ 7 mg/dL thì có 24 người trong số đó có triệu chứng “bờ đôi” trên siêu âm. Kết quả này chứng tỏ có tích tụ tinh thể trong khớp, tức là đã bị gout.

Siêu âm là phương pháp tốt nhất hiện nay giúp chẩn đoán bệnh gout sớm.
Đối với những bệnh nhân siêu âm để chẩn đoán gout chủ yếu là siêu âm sụn khớp cùng các dây chằng ở các vị trí như khớp gối, gân gót chân, mắt cá chân, gân gót và cả khớp bàn ngón chân cái. Người bị gout sẽ nhận thấy bất thường rõ rệt của các gai xương, hiển thị vị trí của các vùng xương bị ăn mòn, thậm chí xuất hiện cả viêm bao hoạt dịch giữa.
Bên cạnh đó ngay cả những người bệnh có tăng axit uric máu không triệu chứng cũng đều có những thay đổi về hình thái học khi siêu âm giống như những người bệnh gout có triệu chứng. Hình ảnh cho thấy những tinh thể urat hiện diện trong mô khớp trước khi bệnh gout có các biểu hiện lâm sàng.
Nói cách khác chính phương pháp siêu âm này đã cho phép phát hiện sớm và chẩn đoán sớm bệnh gout ngay cả khi người bệnh chưa có triệu chứng nào. Đấy chính là cách giúp phát hiện và đối phó bệnh kịp thời ngăn chặn biến chứng của nguy hiểm có thể xảy ra.
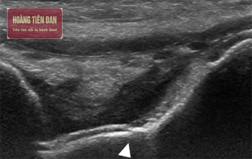
Một điểm khác biệt duy nhất giữa người bị bệnh gout thực sự và người bị gout chưa có triệu chứng đó là trên siêu âm sẽ có biểu hiện “dấu viền đôi”. Hình ảnh trên siêu âm cho thấy có 2 đường, một đường là dải echo dài bề mặt không đều do các tinh thể muối urat lắng đọng trên bề mặt sụn khớp, còn đường thứ hai đó là viền vỏ xương có echo dày.

Siêu âm giúp phát hiện ra bất thường của người mắc bệnh gout.
Như vậy với thắc mắc siêu âm có phát hiện ra bệnh gút không thì câu trả lời ở đây là có. Thậm chí nó còn cho phép phát hiện được gout sớm hơn và nhanh hơn, ngay cả khi gout chưa có triệu chứng nào cũng có thể tìm ra được. Chính vì thế nếu bạn nghi ngờ bản thân có biểu hiện bị gout thì nên đi siêu âm để chẩn đoán bệnh càng sớm càng tốt, qua đó chủ động điều trị bệnh tích cực để mau khỏi hơn.
Lưu ý: Trong quá trình điều trị bệnh gout cần xây dựng chế độ ăn uống lành mạnh, tránh xa thực phẩm giàu purin và chất đạm, tăng cường ăn rau xanh và hoa quả, uống nhiều nước để quá trình điều trị đạt hiệu quả cao.
Bài viết liên quan
> Cơ chế chuyển hóa acid uric từ thức ăn vào trong cơ thể
Đăng bởi: Hoangtiendan.com.vn